こんにちは!名古屋市昭和区桜山で整体をしている整体院omoの院長上野です!私は、「3ヶ月以上続く慢性腰痛・関節痛・自律神経の乱れ専門整体」として開業しています!今回は、当院が使っているエコー検査と痛みについてどのように活用しているのかを分かりやすくお伝えします!
エコーもあるなんて病院みたいですね
これは実際に患者さんに言われた言葉です。ケガを取り扱わない整体がエコーを置いてあることさえ、同業の方からすると「なんでエコーなんて置いてるの?」とさえ聞かれます。私は、痛みを客観的にとらえるためには必要な機器だと感じてるので、エコーを置いています。
エコー検査とは?
エコー検査は、超音波を使って体内の様子をリアルタイムで映し出す検査方法です。痛みや不快感がなく、安全に体の内部を詳細に見ることができます。人体に直接放射線を浴びることや体に針を刺したり、切開したりする必要がないため安心して検査を受けられることや、体内の状態をリアルタイムで確認できるため、迅速な診断が可能です。
痛みの原因を視覚化
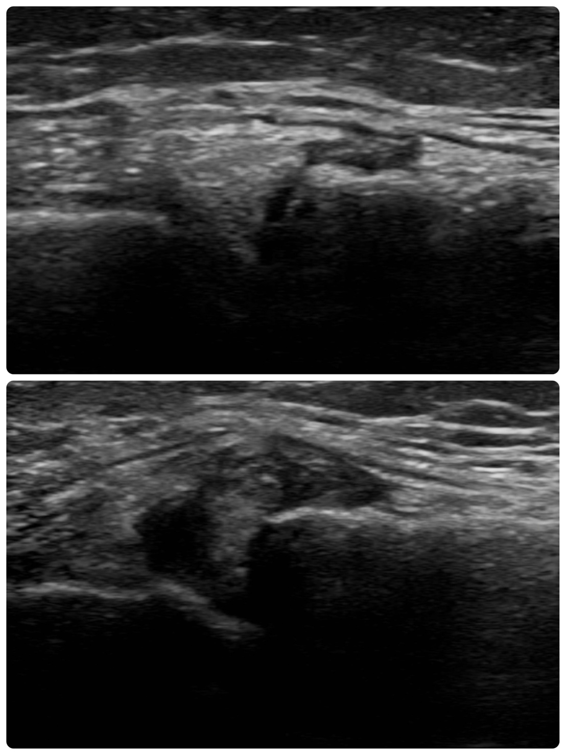
エコーを用いることで、左右差を比べて、構造的な問題を可視化することで安心できる部分もあります。下記の画像は実際の患者さんの膝のエコー画像となります。

これは膝の関節の間の腫れを表しており、下の画像が痛みを感じているところです。可視化することで、なぜ痛みを感じているのかを写しだすことで、安心材料にもなりますし、痛みの原因を知る一つのツールとして活躍します。
また、経過観察を行うことで順調に回復しているのか、まだこの期間はあまり動かないほうがよいとかを判断する材料にもなります。
早期発見で健康を守る
エコー検査は、体内の異常を早期に発見するための強力なツールです。問題を早期に発見することで施術を早く始めることができ、回復もスムーズに進みます。また、潜在的な問題を事前に発見し、予防的なケアを行うことで、大きな問題を防ぐことができ、自分の体の状態を詳細に知ることで、安心して日常生活を送ることができます。
そして、必要であれば提携している整形外科病院へ紹介することも考えます。


整体院omoでは、エコー検査を用いて皆様の健康状態を詳細にチェックし、最適な施術方法を提供しています。体の不調や痛みが気になる方は、ぜひ一度ご相談ください。私たちと一緒に、健康で快適な生活を取り戻しましょう。
執筆者
院長プロフィール
柔道整復師・キネシオテーピングトレーナー
整体院omo 院長 上野














コメント